Mới đây truyền thông Trung Quốc đưa tin, chàng trai 20 tuổi Li Lin (tên đã thay đổi) sử dụng xịt chống nắng trước khi ra ngoài nhưng vô tình lại xịt lên mặt. Sau đó, nam thanh niên dần xuất hiện triệu chứng tức ngực và ho.
Ngày hôm sau, các biểu hiện khó chịu này vẫn không chấm dứt nên anh đã đến Bệnh viện số 3 của thành phố Trường Sa, tỉnh Hồ Nam (Trung Quốc) để điều trị.
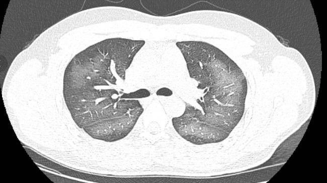
Sau khi kiểm tra, chụp CT phổi cho thấy phổi của Li Lin có một vùng màu trắng khá rộng, là biểu hiện của sự tổn thương. Bác sĩ Zhang Xiuping, trưởng Khoa X-quang của Bệnh viện số 3 Trường Sa cho biết "phổi trắng" thường chỉ sự xuất hiện của bệnh viêm phổi nặng.

Chụp CT phổi của nam thanh niên thấy trắng xóa một mảng lớn.
Bệnh nhân “trắng phổi” thường khó thở, suy hô hấp, trong một số trường hợp nặng còn có thể dẫn đến rối loạn chức năng các cơ quan khác. Tình trạng “phổi trắng” thường gặp ở người cao tuổi (trên 65 tuổi), khả năng miễn dịch kém, tiền sử mắc các bệnh mãn tính của các cơ quan quan trọng (như bệnh tim, tiền sử đột quỵ, bệnh thận mãn tính, bệnh phổi tắc nghẽn mãn tính…), bệnh nhân cao huyết áp, tiểu đường, suy thận...
Bác sĩ Zhang Xiuping cũng cho biết ngoài những nguyên nhân phổ biến nhất gây ra "phổi trắng" như nhiễm trùng và hội chứng xuất huyết phế nang lan tỏa, việc hít phải các chất độc hại như bụi và thuốc xịt cũng có thể gây ra phổi trắng trên diện rộng.
Nam thanh niên trẻ tuổi này có thể đã hít phải một số thành phần trong kem chống nắng vào phổi do không sử dụng đúng cách nên mới dẫn đến tình trạng "phổi trắng". Sau khi bác sĩ cấp cứu cho thở oxy và điều trị chống nhiễm trùng, các triệu chứng của Li Lin đã cải thiện đáng kể.

Nam thanh niên vô tình xịt thẳng kem chống nắng vào mặt dẫn tới tổn thương phổi. (Ảnh minh họa)
Bác sĩ nhắc nhở mọi người chú ý nguyên tắc sử dụng xịt chống nắng với lượng vừa đủ, cố gắng che miệng và mũi khi xịt, không nên xịt trực tiếp lên mặt mà nên xịt sản phẩm chống nắng ra lòng bàn tay rồi thoa đều lên mặt. Sau khi sử dụng các sản phẩm chống nắng, nếu bạn bị dị ứng hoặc khó chịu về thể chất, bạn nên ngừng sử dụng ngay lập tức và đến bệnh viện để điều trị kịp thời.
Kem chống nắng dạng xịt có lợi hay hại?
Kem chống nắng dạng xịt, đã trở nên phổ biến như một công cụ chống nắng tiện lợi mà không gây bết dính như kem chống nắng dạng lotion. Một số công ty thậm chí còn quảng cáo các loại xịt chống nắng dành cho da mặt với các lợi ích bổ sung, chẳng hạn như tạo lớp nền mờ hoặc dưỡng ẩm sáng da.
Nhưng một số loại kem chống nắng dạng xịt đã bị thu hồi vì có thành phần gây ung thư và chúng có thể không hiệu quả như các loại kem dưỡng da thông thường.
Theo bác sĩ Steve Daveluy, phó giáo sư về da liễu tại Đại học Bang Wayne (Mỹ) cho biết kem chống nắng dạng xịt cũng có tác dụng như dạng kem hoặc lotion miễn là bạn sử dụng chúng đúng cách. Nhưng hãy cố gắng tìm loại xịt không có chất đẩy aerosol, có thể làm loãng kem chống nắng và gây hại cho môi trường.
Bác sĩ Daveluy cho biết chất đẩy là nguyên nhân tạo ra benzen, một hóa chất gây ung thư, được tìm thấy trong một số loại kem chống nắng dạng xịt đã bị thu hồi. Mặc dù benzen không phải là một thành phần được thêm vào trong các loại kem chống nắng này, nhưng nó có thể là sản phẩm phụ hoặc ô nhiễm từ chất đẩy.
Dù vậy, bác sĩ Daveluy nói thêm rằng mức độ benzen được tìm thấy trong các loại kem chống nắng bị thu hồi cũng không cao bằng mức mà mọi người có thể tiếp xúc với xăng, sơn, keo dán và khói thuốc lá.

Các bác sĩ khuyến cáo tuyệt đối không xịt kem chống nắng thẳng lên mặt hay đầu. (Ảnh minh họa)
Tuy nhiên, kem chống nắng dạng xịt có một nhược điểm lớn nhất là bạn dễ thoa sản phẩm không đều và không đúng cách, khiến tác dụng chống nắng kém hiệu quả. Dùng kem chống nắng dạng xịt sẽ khó có thể biết được bạn đã che tất cả các vùng cơ thể tiếp xúc với ánh nắng hay chưa và bạn có thể lãng phí nhiều lượng kem hơn mức cần thiết.
Ngoài ra, bạn cũng có nguy cơ hít phải kem chống nắng nếu vô tình xịt thẳng vào mặt. Mặc dù kem chống nắng dạng xịt an toàn cho da và cơ thể của chúng ta, nhưng chúng không nên được tiêu thụ hoặc hít phải. Bác sĩ Daveluy khuyến cáo không bao giờ xịt trực tiếp kem chống nắng vào đầu hoặc mặt, đặc biệt là khi trời có gió. Bạn cũng nên tránh sử dụng kem chống nắng dạng xịt gần ngọn lửa vì thành phần cồn trong sản phẩm dễ cháy.
Cách sử dụng kem chống nắng dạng xịt hiệu quả
Để sử dụng kem chống nắng dạng xịt hiệu quả, bạn phải thoa lại kem sau khi xịt chúng lên da. Ngoài ra, nên xịt đều trước khi xoa đều kem để tránh việc phủ kem chống nắng không đều. Nếu bên ngoài trời có gió, hãy xịt kem chống nắng lên tay và thoa lên da. Và nếu định dùng lên mặt, bạn cũng nên xịt ra tay rồi thoa lên da mặt.